VROOM
#11
Il est vraiment magnifique ce petit coeur
Répondre

#12
Tatie m'a traité de vermisseau parce que je bouge beaucoup quand je suis éveillé
[url=https://postimages.org/:2mfxtblm][Image: DSC-2999.jpg]

c'est sûre, pour me prendre en photo c'est plus facile quand je dors [Image: beret1.gif]
[url=https://postimages.org/:2mfxtblm][Image: DSC-2994.jpg]
Répondre

#13
Il est beau [Image: 25.gif] [Image: 25.gif]
Répondre

#14
Vroom est un bébé adorable avec une voix strident lorsqu il veut quelque chose.
Un joueur qui adore les peluches..
[Image: 20240906-184723.jpg]

[Image: 20240906-184733.jpg]

[Image: 20240906-184803.jpg]

[Image: 20240906-184807.jpg]

[Image: 20240906-204214.jpg]

[Image: 20240906-204219.jpg]

[Image: 20240906-204226.jpg]
Répondre

#15
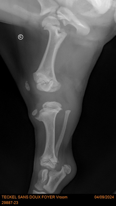
Patte arrière ou avant ? Une anomalie de naissance ? [Image: chien-2010-32.gif]
Répondre

#16
Patte arrière gauche [Image: chien-2010-32.gif]
Répondre

#17
[Image: 29887-23-TECKEL-SANS-DOUX-FOYER-Vroom-20788.jpg]

[Image: 29887-23-TECKEL-SANS-DOUX-FOYER-Vroom-20789.jpg]

[Image: 29887-23-TECKEL-SANS-DOUX-FOYER-Vroom-20790.jpg]
Répondre

#18
Bonjour, bon petit déjeuner... aujourd'hui beurk on m a vermifugé...
[Image: 20240907-073142.avif]
Répondre

#19
Sur la deuxième radios les 2 cotés ne sont pas identiques. C’est là le problème ?
Répondre

#20
Oui, son problème de rotule au genou se répercute sur la hanche, d’où la nécessité de l'opérer de toute urgence sinon il risque une dysplasie de la hanche. Et aussi ne pas grandir normalement !
Répondre



Atteindre :


Utilisateur(s) parcourant ce sujet :
1 visiteur(s)

Moteur MyBB, © 2002-2025 Melroy van den Berg.